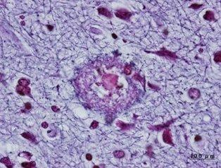
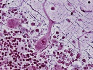
神经元病理染色试剂——蛋白银 病理学特殊染色:可用于Bodian染色的蛋白银。 神经退行性疾病组织学染色具有以下特征,老年斑:红紫色(淀粉样蛋白核心:红色)、神经原纤维缠结:神经原纤维缠结(红色~黑紫色)、匹克小体(匹克氏病):红褐色。 外观:微褐色~褐色,结晶性粉末~粉末或块状物 ◆染色示例 图1. 小脑 轴突(黑色)、 浦肯野细胞(红紫色)、 粒细胞(红紫色) 图2. 大脑 老年斑(红紫色)和淀粉样蛋白核心(红色) 图3. 大脑 神经元纤维变化 (箭头:红紫色 红褐色) 图4. 大脑(匹克氏病) 匹克小体(箭头:红褐色) 染色状态 轴突:黑色 浦肯野细胞、颗粒层(小脑):红紫色 小脑皮层:浅紫色 神经退行性疾病组织学特征 老年斑:红紫色(淀粉样蛋白核心:红色) 神经原纤维缠结:神经原纤维缠结(红色~黑紫色) 匹克小体(匹克氏病):红褐色 ◆染色方法示例 Bodian染色法概要 Bodian染色实验步骤 注意事项 1. 可使用标准方法染色,但应避免长时间的银反应。 2. 良好的染色效果会受温度和时间的影响,因此,请根据研究机构考虑适合的条件。 3. 根据固定效果依次排序固定条件:酸性福尔马林 > 中性缓冲福尔马林 > 多聚甲醛,延长固定时间预计不会影响染色效果。 ◆产品列表 ※ 仅供实验研究用,不可用于临床诊断。 Prev Next